補綴治療とは・・・
人工の歯を入れる治療
補綴治療は、失った体の部位の機能とカタチを人工の造形物で補う(=補綴)治療です。

補綴治療とは、虫歯や事故など大きなダメージを受け、歯を失ってしまった時に、「かぶせ(差し歯)・ブリッジ・入れ歯」を施すことで歯を補ったり、歯周病などで歯を失った時に人工素材(入れ歯)を使って歯並びや歯の形を復元するなど、見た目や噛む機能だけでなく、発音といった「歯」本来の機能を回復することを目指す治療のことを言います。
また「かぶせ(差し歯)」は時間の経過により、お口に合わなくなってくることもあります。
お口に合わない「かぶせ(差し歯)」は、「清掃面 ・ 噛み合せ ・ 見た目(色合い / カタチ)」面で様ざまな問題を引き起こします。
補綴治療は、これら時間経過による「かぶせ(差し歯)」の見直しや改善も含まれます。
さまざまな補綴治療
かぶせ(差し歯)

どのような素材をどの歯に使うかによって、その「かぶせ」(クラウン)が、保険治療が使えるのか、また自費診療になるのかが区分けされます。
保険治療
保険治療は使える素材や、治療後の「歯」の色も全て決まっています。
| 前 歯 |
奥 歯 (前から4番目以降を指します) |
|
|---|---|---|
| 素 材 | 硬質レジン前装冠(プラスチック) | 金属冠 |
| 色 | 白色 | 銀色(いわゆる銀歯) |
自費治療
前歯 / 奥歯すべての歯において、自分の希望する「素材」や「色」の素材を使った治療が可能です。
見た目も天然の「歯」に近く、優れた強度を持つセラミック素材などが使えます。
自費診療で使う素材は、保険適用の素材と異なり、日々進歩がみられ優れた素材が次々に現れています。
金属アレルギーがある方に対して、オールセラミックの素材をご用意することも可能です。
ブリッジ

歯が抜けた後に、左右両隣に残った歯を削って支えをつくり、歯が抜けた箇所に、文字通り人工歯を「橋渡し」するように入れることを言います。
ブリッジは歯を抜いた箇所を含め左右の歯3本以上にかぶせる補綴装置です。
「かぶせ」(差し歯)と同じく、使う素材によって保険治療が行えるのか、また自費診療になるのかが区分けされます。
自費診療であれば、歯の色をすべて白くできることはもちろんですが、連続して3本の歯がない場所をブリッジにするなど、保険診療ではできないような治療も可能です。
最近は、歯を削る個所を最低限にとどめ、薄い金属を使ってブリッジをつくり、接着剤で固定する「接着ブリッジ」と呼ばれる治療もありますが、体に安全と言われる「金」を主体としたゴールドブリッジの方が、お口の中での違和感が比較的少なく、食べ物の味にも影響が少ないとされています。
入れ歯(義歯)

入れ歯(義歯)は、歯をなくした箇所に装着する「床つきの人工歯」で、自分で取り外すことが可能です。 すべての歯を補うための「総入れ歯」(総義歯)と、部分的に歯の欠けた箇所を補う「部分入れ歯」(部分義歯)に区別されます。
総入れ歯(総義歯 全部床義歯:ぜんぶしょうぎし とも言う)
「総入れ歯」な文字通り、すべての歯を補うために使います。
保険治療では床部分はピンク色の樹脂(プラスチック)になりますが、自費診療ではチタン鋼など、特殊な素材を使うこともできます。自費診療の素材は、総じて樹脂製のものに比べ、装着感と強度に優れています。
部分入れ歯(部分義歯 部分床義歯 ぶぶんしょうぎし とも言う)
歯を失った箇所を補うために、床と人工の歯を組み合わせたものをつくり、左右の残った歯にクラスプとよばれる掛け金を使って固定して装着します。
「部分入れ歯」は、失った歯の数や箇所、残っている歯の状態や形態によって、設計が違ってきます。
自費診療で治療を受ける場合、掛け金(クラスプ 針金)が見えないものや、マグネットを使用したものなど、優れた性能のものを選択することができます。
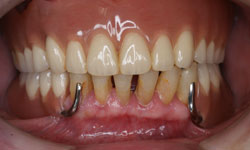
治療例~補綴治療
症例1: 入れ歯の症例
【治療前】

【治療後】


![[診療時間]9:30~12:30 14:00~20:00 水・土は17:00まで [休診日]木・日・祝祭日](img/header_side_shop02.gif)




